前《我愛黑澀會》班底、女團「Twinko」成員可青,近日在社群平台首度談到一段過去未曾公開的經歷,坦言曾在懷孕期間遭遇胎停,讓不少粉絲相當心疼。
可青日前在Instagram限時動態開放粉絲提問,有網友關心她是否已有當媽媽的計畫。她回應,自己和先生一直以來都抱持「順其自然」的態度,沒有替生子設下時間表,也不想給自己太大壓力。不過,她也在這次互動中鬆口透露,去年其實曾經迎來懷孕的好消息,當時原本已懷孕約9至10週,卻因胎兒染色體異常而胎停。

這是可青第一次對外公開此事,短短一段話讓不少粉絲心疼,許多人立刻留言給予安慰和關心。對此,可青於20日再度發文感謝大家,並透露雖然和寶寶的緣分短,卻仍是一段溫暖的回憶,「我們很幸福,很謝謝這個可愛貼心的小靈魂。」在這短暫與寶寶共處的時間裡,她幾乎沒有不適感,還能繼續工作,已經覺得相當幸運。
可青進一步說明,當初是因為發現胎兒心跳過快,才進行更詳細的檢查,最後由醫師確認胎停原因為染色體異常。她坦言,得知結果時心情相當複雜,也曾自責是否因為自己的不足而失去寶寶,但在醫師的說明下,慢慢放下內心的壓力,「出了醫院眼淚還是止不住的掉,但相信一切都會是最好的安排。」
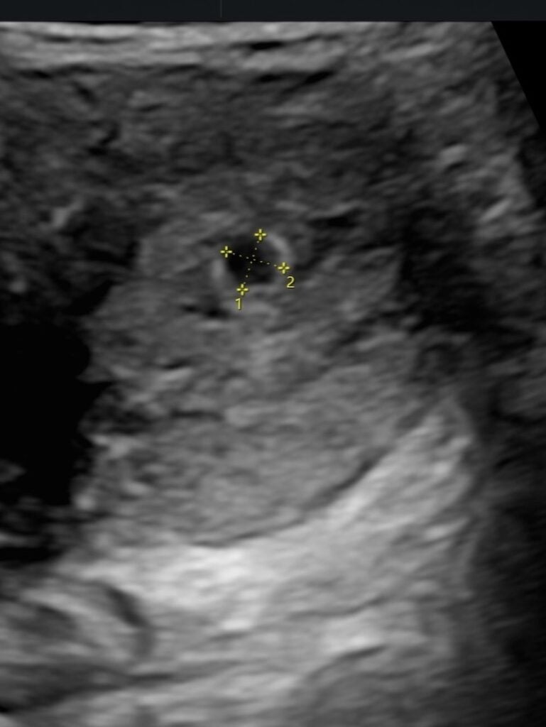
貼文中,她也公開第一次產檢的超音波照片,因為畫面看起來像兔子,夫妻倆替寶寶取了小名「Tokki」,並溫柔寫下:「會等你準備好再回來。」同時,她也向正在努力懷孕、或正在接受試管療程的媽媽們喊話,表示「你們不孤單」,用自身經歷傳遞陪伴與支持。
延伸閱讀


-300x152.jpg)


談到-AI-教育時代的來臨(圖/影響力教育基金會)-300x225.jpg)